MrPopZit
Acne Extractions! Large Blackheads and whiteheads in the ears and on the lips. MrPopZit 2210
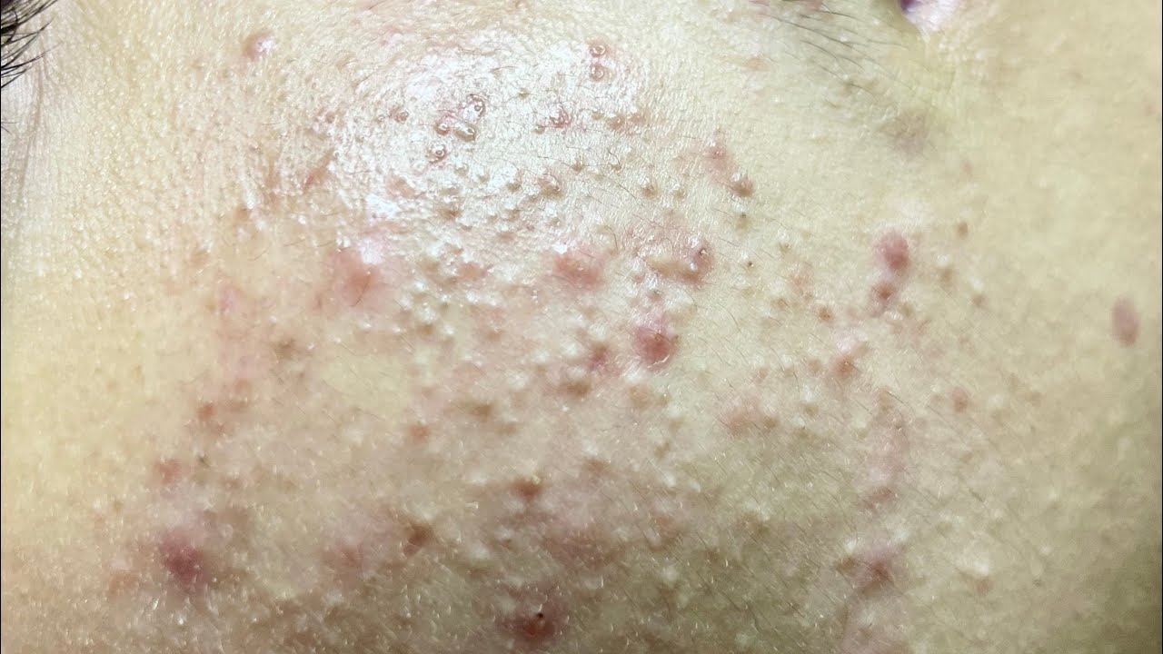
Thanks to my patient for sharing her procedure. She was a trooper! These are tender…
Dr. Sandra Lee
TLC
This Woman Has a Brain-Looking Growth on Her Ear | Dr. Pimple Popper | TLC 2110
In this episode of Dr. Pimple Popper, a patient visits the office with a peculiar,…
MrPopZit
What is under that enlarged pore!? Large abscess follow up, cyst has reformed and I cut it out. Mr. PopZit 2110
This was a large Pilar cyst that became inflamed and burst, we performed an incision…