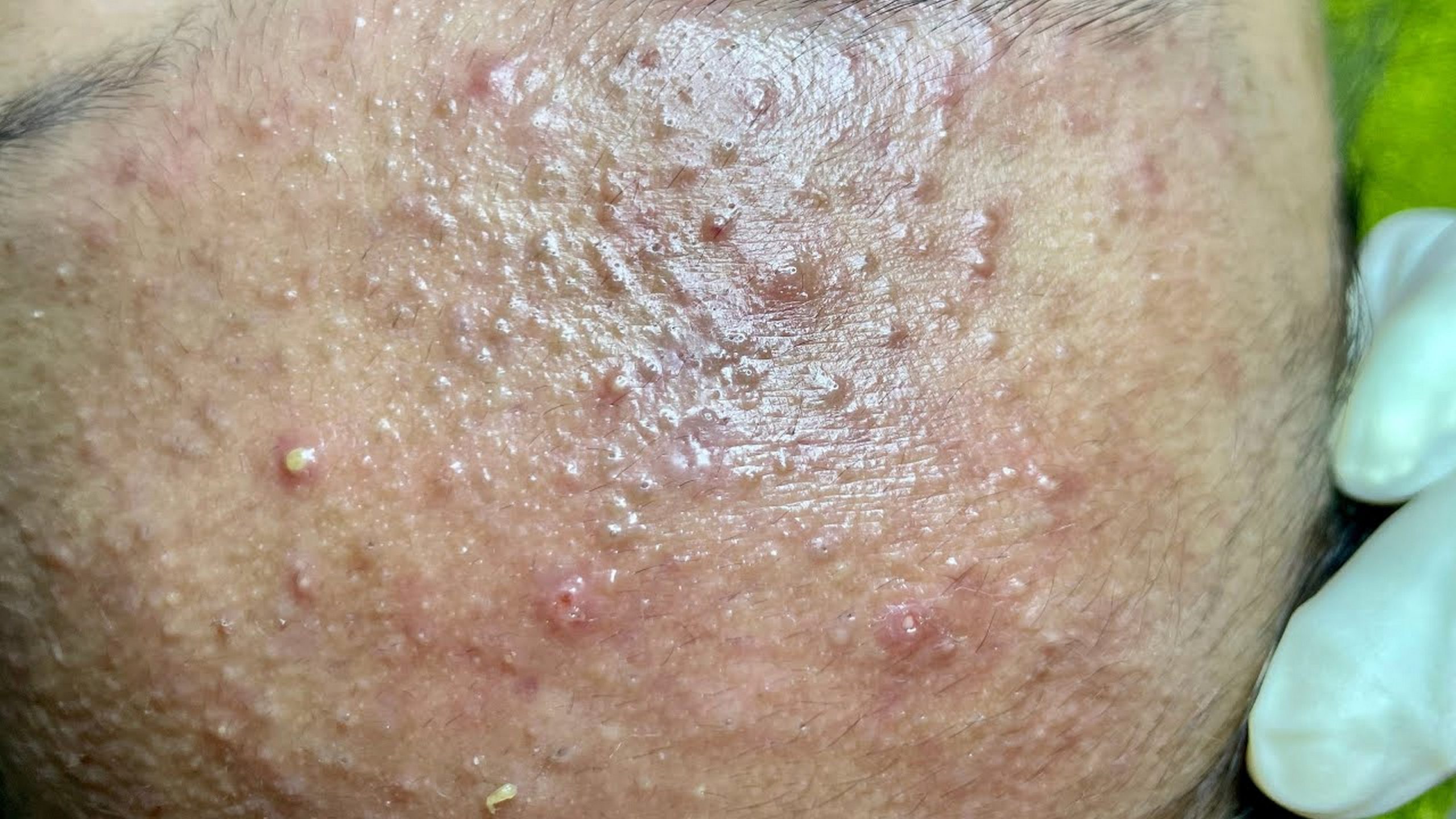
Chung Vo Spa Acne, Blackheads, ChungVoSpa, Clinic, Doctor, Pimple, Removal, Skincare, Treatment Jenny168 September 28, 2025 0 Comments 117 extractions Nicely done! Satisfying video with Chung Vo Spa | 382
Previous post Lots of Content Cyst.Dr Khaled Sadek. 2809 Next post Hormonal Acne nodule or inflamed abscessed cyst? You be the judge. Contents under pressure! Mr. PopZit 2809
Jenny168 0 Now I know why my mother always told me to wash behind my ears!!! Satisfying video with Chung Vo Spa #124
Jenny168 0 Perfect filming, great job on these little juicy ones, and what a sweet tiny voice! Satisfying video with Chung Vo Spa #126
Post Comment Cancel reply Comments Name Email Save my name, email, and website in this browser for the next time I comment. Δ
Uncategorized Hard boiled egg cyst. Dry cyst pop. Looks just like boiled egg. Cyst excision and closure. MrPopZit 1712
Uncategorized Deeply embedded ear blackheads! Watch me clear the pores and remove follicular cysts. Your favorite! 1711
Uncategorized Dr. Lee Helps Twins With Golf Ball-Sized Lumps On Their Heads | Dr Pimple Popper: Pop Ups 1809
Uncategorized So many complainers in the comments lol Dr Lee you are the best always. Dr Pimple Popper is in “Double Trouble” 1709
Uncategorized The cyst with the tiny face. Looks like popcorn coming out. There is a mole on top as well. Mr. PopZit 1409
Uncategorized I am always thankful when I get to see my friend Daryl. We had a great time recording this video for you. Enilsa Brown 075
Post Comment