Skip to content
  • February 28, 2026

Pimple Times

×

Pimple Times

  • Chung Vo Spa
  • Home
  • Dr. Brad
  • Dr. Khaled Sadek
  • Dr. Ebonie
  • Dr. Sandra Lee
  • Huong Da Nang
  • Dr. Emma
  • Dr. Khaled Sadek
  • Linh My Dang
  • MrPopZit
  • Dr. Ryan
  • Sac Dep Spa
  • Dr. Sandra Lee
  • Thuy Truong
  • Dr. Schaeffer
  • Dr. SreeHari Jangala
  • Enilsa Brown
  • Hoang My Acne Treatment
  • Huong Da Nang
  • Linh My Dang
  • MrPopZit
  • Really
  • Sac Dep Spa
  • Thuy Truong
  • TLC
  • Windy Spa 6
  • Home
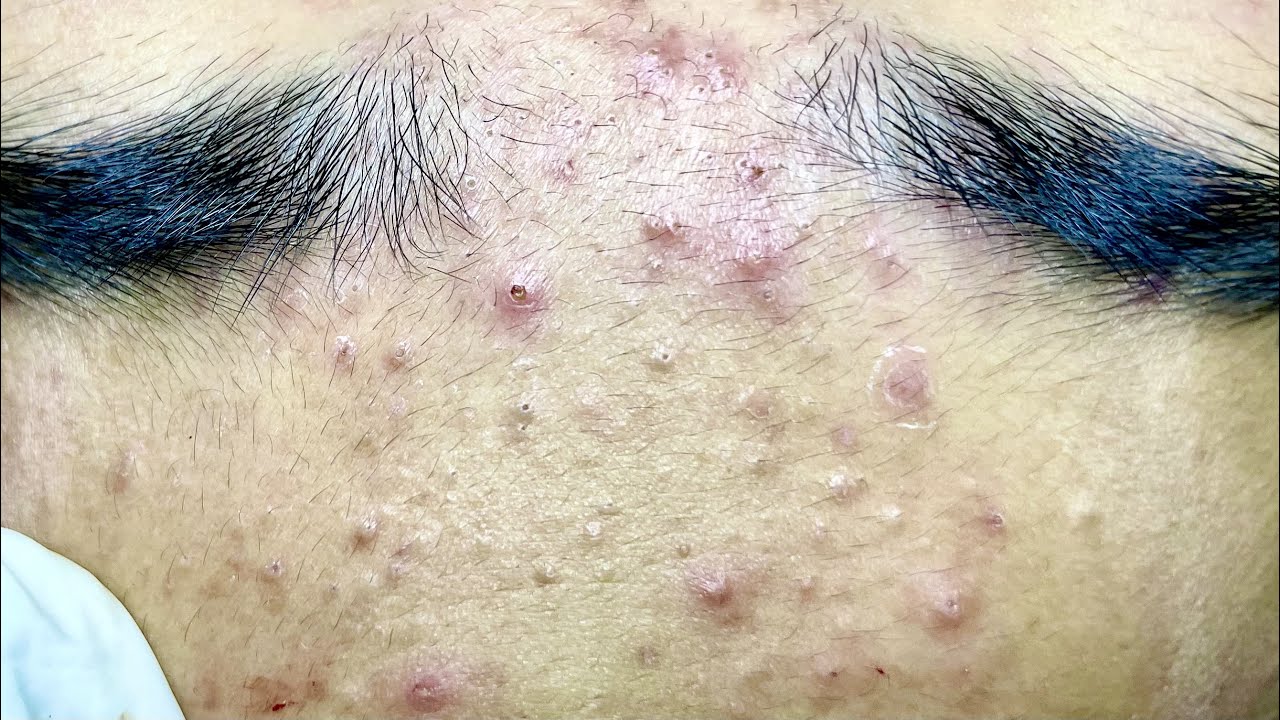
  • Ouchie! He had some fossils in there! Satisfying video with Chung Vo Spa | 169
Chung Vo Spa Acne, Blackheads, ChungVoSpa, Clinic, Doctor, Pimple, Removal, Skincare, Treatment Jenny168 February 10, 2026 0 Comments

Ouchie! He had some fossils in there! Satisfying video with Chung Vo Spa | 169

Tag Acne Blackheads ChungVoSpa Clinic Doctor Pimple Removal Skincare Treatment
Jenny168

Add your Biographical Information. Edit your Profile now.

view all posts
Previous post

Absolutely great work!! You really cleaned up his face. Priority preview content for registered members Spa Linh Mun #33

Next post

The in-your-face nose bump. Surprisingly large growth tucked into the nose bridge between eyebrows! Mr. Popzit 100226

Related Posts

Jenny168 0

Too many technicians use lancets to stab and rip open their clients’ skin when it’s not necessary!! Satisfying video with Chung Vo Spa #127

February 28, 2026
Jenny168 0

Satisfying video with Chung Vo Spa #128

February 28, 2026
Jenny168 0

That was one of the most aggravating popping films I have ever seen. Satisfying video with Chung Vo Spa #130

February 26, 2026

Post Comment Cancel reply

You May Have Missed

Uncategorized

Hard boiled egg cyst. Dry cyst pop. Looks just like boiled egg. Cyst excision and closure. MrPopZit 1712

December 17, 2025 Jenny168
Uncategorized

Removing Yellow Nails And Fixing A Deformed Toe | The Bad Foot Clinic 0512

December 5, 2025 Jenny 168
Uncategorized

Deeply embedded ear blackheads! Watch me clear the pores and remove follicular cysts. Your favorite! 1711

November 18, 2025 Jenny 168
Uncategorized

Well done! You even got the sac!! sebaceous cyst behind the neck HoangMySpa 078

September 28, 2025 Jenny168
Uncategorized

Dr. Lee Helps Twins With Golf Ball-Sized Lumps On Their Heads | Dr Pimple Popper: Pop Ups 1809

September 19, 2025 Jenny168
Uncategorized

Removing a Lipoma Above the Eye | Safe Procedure Explained by Dr. Pimple Popper 1809

September 18, 2025 Jenny168
Uncategorized

So many complainers in the comments lol Dr Lee you are the best always. Dr Pimple Popper is in “Double Trouble” 1709

September 17, 2025 Jenny168
Uncategorized

The cyst with the tiny face. Looks like popcorn coming out. There is a mole on top as well. Mr. PopZit 1409

September 14, 2025 Jenny168
Uncategorized

I am always thankful when I get to see my friend Daryl. We had a great time recording this video for you. Enilsa Brown 075

September 13, 2025 Jenny168
Uncategorized

Vance claims that the Bolton raid was triggered by classified documents. SacDepSpa 939

August 23, 2025 Jenny168

NewsBlogger - Magazine & Blog WordPress Theme 2026 | Powered By SpiceThemes